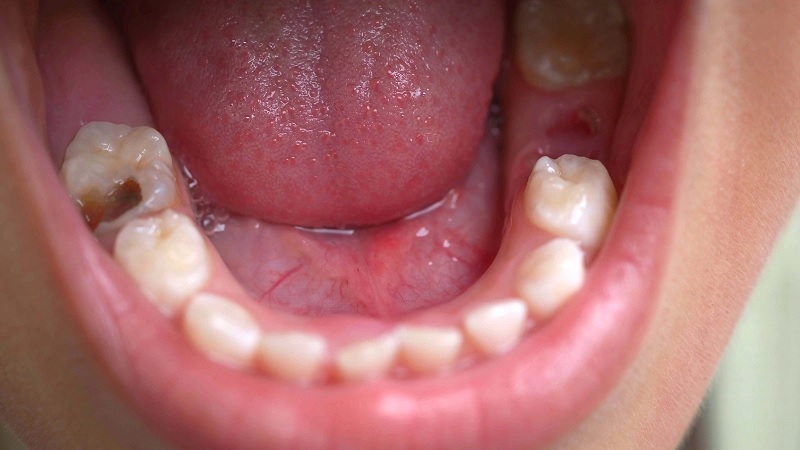
خیلی مهم است که پوسیدگی دندان کودکان در مراحل ابتدایی تشخیص داده شود برای همین کودکان از سن دو سالگی باید هر شش ماه یکبار توسط دندانپزشک متخصص کودکان معاینه شوند. پوسیدگی دندان کودک اگر پیشرفت کند نیازمند درمانهای پیچیدهتری خواهد بود. دندانهای شیری همانند دندانهای دائمی دارای عصب هستند و اگر پوسیدگی دندان شیری پیشرفت کرده باشد نیازمند درمان عصبکشی خواهد بود. گاهی اوقات پوسیدگی دندان شیری کودک حتی به مرحله آبسه میرسد ولی کودک هیچ دردی را ابراز نکرده است و والدین تعجب میکنند چون فکر میکنند علامت به عصب رسیدن پوسیدگی دندان باید دردگرفتن دندان باشد در حالی که در کودکان این قضیه صدق نمیکند. شکل آناتومی دندان شیری طوری است که پوسیدگیها به خصوص پوسیدگیهای بین دندانی خیلی سریع به عصب میرسند.

از آنجایی که دندانهای شیری عقبی تا ده الی دوازده سالگی داخل دهان هستند و دندانهای شیری جلویی تا حدود هفت سالگی داخل دهان باقی میمانند درمان پوسیدگی دندان شیری ضروری است و نباید این تفکر اشتباه را داشته باشیم که دندان شیری میافتد پس نباید به درمان پوسیدگی آن فکر کنیم!
اگر کودک در شرایطی باشد که با دندانپزشک همکاری کند درمان پوسیدگی دندان های شیری در مطب دندانپزشک متخصص کودکان انجام خواهد شد ولی اگر کودک دچار اضطراب یا ترس باشد یا سن کودک خیلی کم باشد یا تعداد دندانهای پوسیده خیلی زیاد باشد درمان پوسیدگی دندانهای کودک در شرایط آرامبخشی یا بیهوشی انجام خواهد شد.
علت پوسیده شدن دندانهای کودک به مراقبت های خانگی برمیگردد مثلا کودک باید حتما روزی دوبار با خمیردندان مخصوص کودک مسواک بزند. باید بعد از سه سالگی بین دندانهای کودک نخ دندان کشیده شود. مصرف نوشیدنی های گازدار و شیرینیجات زیاد خطر ابتلا به پوسیدگی را افزایش میدهد
و مهمتر از همه شیر خوردن شب باید از سن یکسالگی به بعد قطع شود.
اگر معاینات دندانپزشکی کودک به طور مرتب انجام شود دندانپزشک متخصص کودکان میتواندبا انجام کارهایی نظیر فلورایدتراپی از پوسیده شدن دندان کودک پیشگیری کند. البته همه این کارها وقتی موثر خواهد بود که مراقبت های خانگی به طور صحیح برای کودک انجام شود.
پوسیدگی دندان کودک میتواند روی سلامت کلی کودک تاثیر بگذارد زیرا کودک با دندانهای به شدت پوسیده نمیتواند درست تغذیه کند و البته دندانهای شیری پوسیده باعث میشوند دندانهای دائمی به محض رویش پوسیده شوند.









نظرات